新医微讯
常言道“人老腿先老”,而腿“老”最常见的疾病就是“骨关节炎”。那些在“相亲相爱一家人”聊天群里掌握主导话语权的亲人,往往会分享一些治疗各种“不治之症”的“土办法”或“土方子”链接,同时@所有人,让大家一起来看。

诸不知,链接里有一些是营销号广告,也许过几天就“不见了”,但因大家的口口相传,导致亲戚朋友出现错误的知识的混淆,然而这些“所谓的土方法”会直接影响百姓对疾病的正确认知。
误区1:骨关节炎是关节发炎感染了,要吃消炎药?

骨关节炎是由于多种原因导致的关节退行性病变,并非我们口中所讲的因为病原体导致的感染发炎!很多人认为,发炎与感染是划等号的,所以也有很多患者认为骨关节炎是需要服用些抗生素。其实骨性关节炎的炎性反应,基本上都是无菌性炎症,所以自然是不需要抗生素治疗的。
误区2:天冷了不穿秋裤,老了会得关节炎?
从目前的研究来看,骨关节炎和受寒没有因果关系,与穿不穿秋裤更没有直接关系,导致骨性关节炎的主要原因是关节的软骨组织磨损,所以不穿秋裤不会导致关节炎。

但是已经得了骨关节炎,确实需要保暖,除了及时穿上秋裤,最好尽量避免潮湿、寒冷的居住环境。膝关节两端骨表面有一层关节软骨,在人们走路、运动的过程中可以起到润滑、缓冲、减震的作用,进而对膝关节形成保护,而这层软骨一旦遭到破坏,膝关节两端就会出现“骨头磨骨头”的情况,进而引发无菌性炎症,出现疼痛、肿胀、灵活性下降、关节不稳等症状,严重时会影像走路。
那么到底要不要穿秋裤?如果你身体健康,因为追求时尚拒绝秋裤,那也无可厚非;但如果你一到天气变化的时候就感觉膝关节疼,双腿冰凉,那也没必要硬挺,早穿早暖和。如果你已经是骨关节炎患者,或者是处在经期的女性、孕妇,则一定要注意腿部保暖。
误区3:腿疼是因为“骨刺”导致的,多走路把它磨平就行了?

曾经听说过不少人认为把增生的骨刺磨掉就好,于是他们每天疯狂的爬楼梯,企图把骨刺“磨掉”。其实骨刺生长的目的并非让人疼痛,而是为了让不稳定的关节更加稳定而导致的反应性增生,磨掉骨刺并不能让关节“返老还童”,反而还会加重症状,当然骨刺不会磨掉,反而会越磨越多!
误区4:只有老年人会得骨关节炎?

很多人认为骨性关节炎是老年人的专属,但是近年来,随着全民参与体育活动的热情不断高涨,也有不少由于训练不规范、创伤、劳损、肥胖等因素导致的骨性关节炎正销销蔓延到年轻人的身上。
误区5:得了骨关节炎后必须静养?

有些人在确诊骨关节炎后,就停止一切活动,长期卧床。其实这样消极的做法也是会让关节的症状加重的,关节软骨得不到应力的刺激,就无法产生和代谢关节液,停止正常的活动,长时间后就会让肌肉荟缩,让关节承受更大的压力。其实得了骨关节炎,在症状较重的时候的确是要适当休息,但是在关节状态比较好的时候,还是建议做一些静力性的肌肉力量练习和一些非重负重的体育活动,比如短途步行、游泳、太极拳。
误区6:通过吃药可以使骨性关节炎痊愈


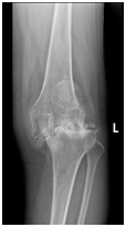
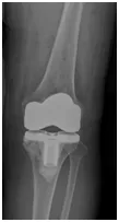
骨性关节炎早期主要累积关节表面软骨,如果在症状较轻的时候就及时干预,那么还是有很大的机会让骨性关节炎远离我们。在关节炎早期,服用NSAID类药物是可以比较明显的缓解症状,但是中晚期往往需要手术干预,休息时和夜间持续疼痛是骨关节炎患者外科手术治疗的适应症,尽管年龄不是手术治疗的禁忌症,但患者的总体情况是一个重要因素,尤其是老年骨关节炎晚期患者,往往需要行关节置换术,人工关节置换术已成为治疗关节严重病变的主要手段之一,被誉为20世纪骨科发展史重要里程碑之一。
新疆医科大学第一附属医院关节外科作为全国优势学科,每年完成髋、膝关节置换手术近2000例,其数量及难度现已位居全国领先水平,尤其在关节假体周围感染的诊断与治疗方面已达到国际领先水平,全国各地患者及国际友人常常慕名而来,且数量呈逐年递增趋势。除了丰富的临床经验和规范化的手术操作之外,关节外科还引进了美国MAKO机器人,通过机器人辅助手术定位,使人工关节假体安装更为精准,固定更为牢固,术后随访也获得了更为满意的临床疗效,始终秉承“诊对病、治好病”原则的关节外科已在国内外获得了良好的口碑。
新医大一附院骨科(关节外科)专家出诊信息

曹力
主任医师、教授
专家门诊:每周二下午

阿斯哈尔江·买买提依明
主任医师、副教授
专家门诊:每周四下午

张晓岗
主任医师、副教授
专家门诊:每周三下午

李国庆
主任医师
专家门诊:每周一下午

胥伯勇
主任医师
专家门诊:每周二下午
骨科门诊:门诊楼B区5楼
供 稿:关节外科 陈永杰