新生儿肾积水
近日,新疆医科大学第一附属医院儿科中心小儿泌尿外科运用“达芬奇”机器人,联合多学科为一名出生仅45天、体重仅5.2公斤的患儿成功实施了“腹腔镜左侧肾盂输尿管成形术”。从10岁、5岁到出生45天,小儿泌尿外科团队在机器人手术治疗肾积水的道路上不断突破,为更幼龄、病情更危重的患儿带来健康福音。

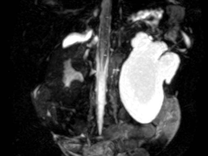
本次接受治疗的患儿,在出生前的产前B超检查中已被发现存在先天性左肾重度积水,出生满月后由地州医院转至新医大一附院就诊。入院检查显示,患儿左肾盂分离3.8CM,肾皮质最薄处0.16cm,核素肾动态显像检查提示左肾分肾功能下降大于20%。检查结果显示,孩子左肾形态和功能均受损明显,情况不容乐观,需要尽快手术。

患儿肾区影像
肾盂离断式成形是治疗肾积水的常用治疗方法,考虑该患儿出生仅45天,组织器官柔嫩纤细,常规的腹腔镜手术方式难度大。经小儿泌尿外科李佳主任医师与患儿家属进行充分沟通后达成一致,决定为患儿实施“达芬奇”机器人辅助下腹腔镜左侧肾盂输尿管成形术。
手术当天,李佳主任医师在麻醉医师、手术室等医护人员的配合下,操作达芬奇手术机器人,在患儿狭小的腹腔空间内完成肾盂输尿管游离、裁剪、重建、置管。由于该患儿输尿管狭小且狭窄段较长,无法顺利置管,手术难度进一步加大,最终手术团队采取留置输尿管导管及左侧肾造瘘进行体外引流,成功完成手术,患儿手术创口仅有1厘米。目前该患儿各项指标达到预期标准,已康复出院。
据悉,该患儿是疆内实施机器人手术的最低龄患儿,本次手术标志着新医大一附院在机器人手术领域达到全国先进水平,新医大一附院小儿泌尿外科进入微创手术全新时代。
什么是肾积水
肾积水是一种常见的泌尿系统疾病,当尿液在肾盂内淤积,肾盂肾盏潴留的尿液超过人体正常的容量,即称之为肾积水。引起肾积水原因很多,儿童期肾积水大部分是因为先天性肾盂输尿管连接部狭窄,此外还有输尿管末端狭窄、输尿管末端囊肿、输尿管息肉以及结石等梗阻性疾病同样也是引起儿童肾积水的常见原因,部分膀胱输尿管反流的患儿也会合并有肾积水。
肾积水的诊断与治疗
肾积水的诊断有着严格的标准,其严重程度也有着详细的分级分度,针对肾积水的分型不能仅看某一项或者某几项数值就下结论,需根据超声提供专业测量数据以及患儿的症状表现综合判断。因此,筛查出有肾积水患儿应及时到小儿泌尿外科就诊,进行系统的检查与随访,且不可掉以轻心。特别是当患儿出现腰腹痛的症状时,更应该引起家长的足够重视,及时就医。
为方便广大患儿就诊,新疆医科大学第一附属医院每周一至周日均有小儿泌尿外科专科医师坐诊。咨询电话:0991-4366049
专家介绍
李佳,主任医师,擅长小儿泌尿系统各类疾病的诊疗,尤其对儿童各类先天性泌尿生殖系统畸形如:肾积水、尿道下裂、膀胱外翻、性发育异常等;应用微创技术治疗隐睾、肾输尿管膀胱畸形等疾病经验丰富。
出诊时间:周一下午、周二、周四上午