近日,新疆医科大学第一附属医院心血管病中心、胸痛中心体外膜肺氧合(ECMO)团队完成了一例“外院建立ECMO体外循环抢救——在ECMO支持下转运并实施急诊冠脉介入手术”,成功挽救了一位急性前壁心肌梗死、心脏骤停的患者,实现了胸痛中心“患者未到、信息先到,赢得时间、赢得生命”的转运-双绕行的救治策略。

家住乌市城北的陈先生不久前因胸痛前往家附近的医院就诊,就诊过程中突然出现心室颤动、心脏骤停、心源性休克,血压仅有60/40mmHg,病情十分危急。当地医院第一时间与新疆医科大学第一附属医院心脏重症监护室(CCU)主任孙惠萍取得联系,寻求支援。
在了解患者病情后,孙惠萍主任与心血管病中心常务副主任马翔协商,考虑患者病情非常凶险,需立刻行冠脉造影为其开通导致心梗的血管,但当地医院缺少进一步救治条件且患者生命体征极不平稳,决定由胸痛中心团队携便携式ECMO前往救治,一场与死神较量的生死救援由此拉开序幕。
院内,CCU副主任周欣荣安排协调导管室等手术准备;救护车上,CCU副主任王宝珠与团队快速完成了ECMO的各项准备工作。到达当地医院接触病人并征得家属同意后,团队在5分钟内完成了床旁ECMO的转机工作,患者的血压和血氧等情况得到明显改善。

只有尽早开通导致心梗的血管,患者才有延续生命的希望。在确认患者状态相对稳定、符合转运条件后,医护团队紧密配合,在最短时间内将患者用120急救车转运至新医大一附院,通过绿色通道绕行急救·创伤中心和CCU病区,直接前往导管室准备行冠状动脉支架植入术。


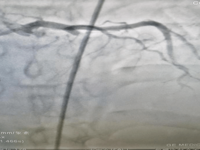
冠状动脉造影证实,患者心脏最重要的血管“前降支”闭塞,在前期准备充分的情况下,从患者转运入院到前降支血管打通,团队仅用时15分钟,为患者赢得了宝贵的“心肌存活时间”。
转运ECMO+双绕行策略,不仅检验了新医大一附院在ECMO技术应用和胸痛中心区域协同救治的能力,更体现了医院与死神赛跑、为生命接力的勇气和态度。新医大一附院始终坚持以实力和担当维护人民群众生命安全,不断彰显敬佑生命、勇挑重担的勇气。